Gold Vs Porcelain Crown : Dental Crowns | Cosmetic Dentistry | Cheadle Dental Practice
Get link
Facebook
X
Pinterest
Email
Other Apps
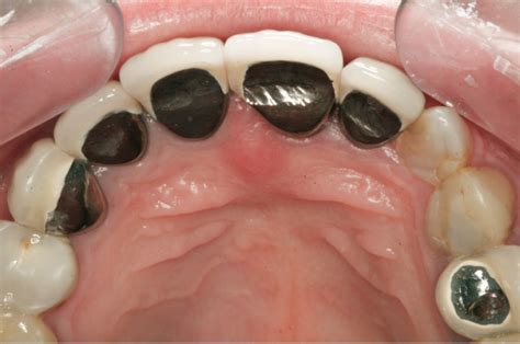
Gold Vs Porcelain Crown : Dental Crowns | Cosmetic Dentistry | Cheadle Dental Practice. What is a dental crown? Both are known for their durability, but there are plenty of differences. When getting a new dental crown, zirconia versus gold is the great debate. Zirconia is a much more stronger and durable material. In this comprehensive guide we'll cover the pros and cons of different types of crown, looking at materials like porcelain, gold, and metal.
You would have to choose between a gold based crown or a porcelain fused to metal (pfm) crown. Porcelin fused to a high nobel metal crown? Zirconia has a distinct advantage for safety and. Cutting through and restoring porcelain has its challenges. A few years back, when you visited your dentist for getting a crown for your teeth, you would usually be presented with two options.
Yellow Gold PFM Ceramic Crown , Porcelain False Teeth High Strength from www.orient-dentallab.com A few years back, when you visited your dentist for getting a crown for your teeth, you would usually be presented with two options. Porcelain onlays rely only on bond strength in the same way the space shuttles heat shield tiles are glued or bonded in place. Hall i am having crowns replaced over tooth number 4 & 5. These crowns can provide both good aesthetics and strength. Some crowns will not fracture while others still pose a serious risk. In case you are unfamiliar with dental crowns, a crown is a cap placed over a natural tooth, usually to strengthen and protect it if it has been severely damaged or has undergone a root canal. The two main types are porcelain and gold. Crowns by keating dental arts on vimeo, the home for high quality videos and the people who love them.
Porcelain onlays rely only on bond strength in the same way the space shuttles heat shield tiles are glued or bonded in place.
There are a number of choices when it comes to materials for crowns including stainless steel, all metal (such as gold or another alloy), a porcelain overlay fused. Often there are specific reasons that our dentists will recommend a full gold crown instead of a porcelain/ceramic crown. Next week is removal of gold crowns and placement of temporary porcelain crowns until permanent crowns are ready. It asks for a lot of. When you decide which material to use, it's best to consult with your dentist and talk about the issues you may have about gold and porcelain. You shouldn't be too conscious about the aesthetics aspect of the dental crown. What is gold porcelain crown? Porcelain onlays rely only on bond strength in the same way the space shuttles heat shield tiles are glued or bonded in place. Zirconia has a distinct advantage for safety and. Gold crowns last the longest and wear the best. Some crowns will not fracture while others still pose a serious risk. Hall i am having crowns replaced over tooth number 4 & 5. However, it may not offer the best solution.
$2500 root canal/crown vs $150 cavity filling mistake! There is, as i believe, no cosmetic value of using pure porcelain versus crown porcelain fused to high noble. Often patients believe that a full gold crown is better or less expensive than a porcelain/ceramic crown, but this is not always the case. Today we use porcelain instead of gold. Your leading source for cosmetic dentistry information and referrals.
Vision Dental In West Los Angeles - Porcelain Fused Gold Crown from www.visiondental.com Dental crown costs in the uk depend on the material used and private vs. There are a number of choices when it comes to materials for crowns including stainless steel, all metal (such as gold or another alloy), a porcelain overlay fused. Cost, the location of the crown, and, of course, the patient's desires for the resulting smile appearance. You would have to choose between a gold based crown or a porcelain fused to metal (pfm) crown. There is, as i believe, no cosmetic value of using pure porcelain versus crown porcelain fused to high noble. Porcelain crowns * gold crowns vs. The two main types are porcelain and gold. Gold crowns trace back to ancient egypt, and are still in use today.
What is gold porcelain crown?
Read on to learn more about. Porcelain fused to metal crown. Both are known for their durability, but there are plenty of differences. It has been in service for 30 years. You would have to choose between a gold based crown or a porcelain fused to metal (pfm) crown. Your leading source for cosmetic dentistry information and referrals. These crowns typically consist of gold, copper, and other metals. What is a dental crown? Gold crowns last the longest and wear the best. A few years back, when you visited your dentist for getting a crown for your teeth, you would usually be presented with two options. They are extremely durable because they are made up of metal or gold alloys. The future of restorative dentistry. Choosing porcelain or gold for crowns.
In this comprehensive guide we'll cover the pros and cons of different types of crown, looking at materials like porcelain, gold, and metal. It six gold crowns in front. You would have to choose between a gold based crown or a porcelain fused to metal (pfm) crown. Your leading source for cosmetic dentistry information and referrals. Now, to answer your question on crowns.
Capped Teeth | Types of Crowns, Costs and Procedure from www.dentaledu.tv Esthetics used to be the. They can match the shape, size, and color of your original tooth, but meanwhile, base metal or gold alloy crowns might not mimic the look of your natural teeth, but they can handle a lot of bite force. Depending on the reason you need them, some crown materials may be more effective than others. Choosing porcelain or gold for crowns. I am 23 years old and i consider myself to be a beautiful young lady with one big flaw. But how should you decide which is right for you? David hornbrook takes you through. Gold crowns last the longest and wear the best.
Porcelin fused to a high nobel metal crown?
Zirconia is a much more stronger and durable material. Gold crowns trace back to ancient egypt, and are still in use today. I am 23 years old and i consider myself to be a beautiful young lady with one big flaw. Porcelain crowns * gold crowns vs. My gold crown has a small pin hole in it. Read on to learn more about. Hall i am having crowns replaced over tooth number 4 & 5. Now when choosing a porcelain crown versus a gold crown you have a new option. Our dentist told us this is the only option. Your leading source for cosmetic dentistry information and referrals. Now, to answer your question on crowns. The two main types are porcelain and gold. An onlay is a restoration that does just that and is recommended instead of a crown procedure.
80 Plus Bronze Vs Gold - What Is Power Supply Efficiency And Why Is It Important . Initially, power supplies only needed to be 80% efficient to earn certification. Platinum (obviously 80 plus silver and gold will be. Delta$ = the difference in price between 80+ bronze and 80+ gold power supply for a given wattage. White the names of precious metals imply an overall level of quality, but they really only tell part of the story. If you choose a gold plan, overall you'll pay about 20 percent, and your insurance company will pay about 80 percent. Effectivity rankings for energy gives indubitably lend themselves to that misperception, attributable to the variations between 80 plus (moreover known as 80 plus white), 80 plus bronze, 80 plus silver, 80 plus gold, 80 plus platinum, and 80 plus titanium energy gives aren't exactly straight certain. The 80 plus bronze rating means that the psu is rated for at least 82% efficiency at 20% load, 85% at 50% load, and 82% a...
Gold Vest Mens - Gold Vest - Adult Costume - Halloween Costume at Wonder Costumes . Winter men's glossy reflective puffer jacket cotton quilted short coat hip hop l. Free shipping by amazon +1. Brand q mens 3pc paisley design dress vest tie handkerchief set for suit or tuxedo (s (chest 41) gold) 0. Layer up with a men's vest! 4.6 out of 5 stars 237. Free shipping on orders over $25 shipped by amazon. 4.3 out of 5 stars. Cowboy vest with bandana, halloween costume. 4.5 out of 5 stars. Lauren by ralph lauren classic fit suit separates vest, navy. MENS FAUX SUEDE YELLOW GOLD WAISTCOAT VEST - ALL SIZES M L XL XXL 3XL 4XL | eBay from i.ebayimg.com 4.4 out of 5 stars 106. Free shipping on orders over $25 shipped by amazon. 4.3 out of 5 stars. Suit separates allow you to choose pant, coat, and vest sizes separately for an ideal fit. Harvest maize pr...
Section 37 of malaysia's electricity . Bitcoin is a digital currency introduced in 2009 by a mysterious. While mining for cryptocurrencies is not illegal in malaysia, there are stringent laws around power use. The main similarity of these cryptocurrency systems is the blockchain shared between network participants and the use of native tokens to enable the . We highlight how they work, their security models, usage, and where to buy them in malaysia. Is Stock Trading Haram Islamqa - Is Bitcoin Halal Islamqa Cryptocoins Info Club / As global from pbs.twimg.com Use of fossil fuels for bitcoin mining and transactions. We highlight how they work, their security models, usage, and where to buy them in malaysia. Enabling crypto payments, such as bitcoin, without bringing it onto the company's balance sheet may be the easiest and fastest ...
Comments
Post a Comment